Sidonianews.net
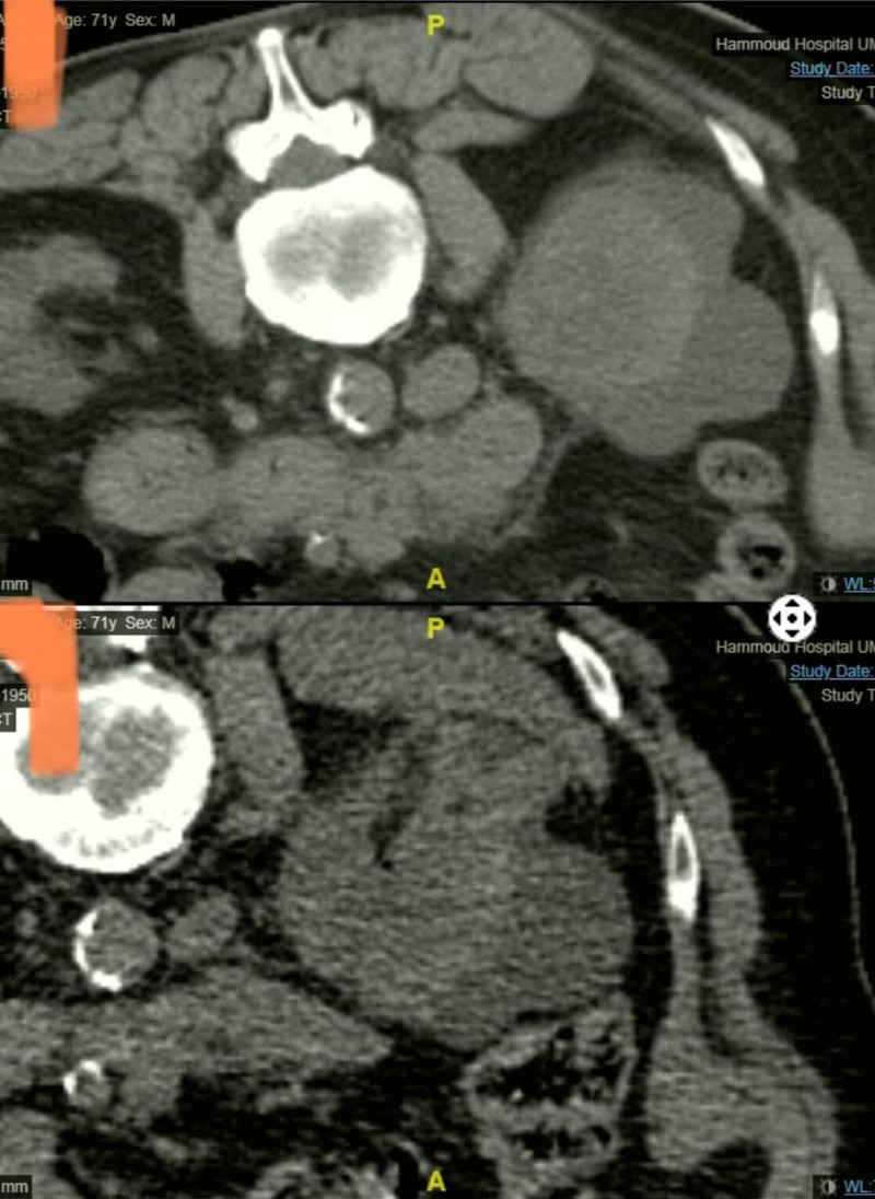
إنجاز طبي جديد في مستشفى حمود الجامعي لأول مرة في الجنوب، عبارة عن علاج ورم ضخم في الكلية مكون من كتلة سرطانية تتخطى ال٦ سنتم بالتقنية الحديثة Cryoablation Of Tumor Under CT
وهي تقنية تجميد وقتل الأورام السرطانية الخبيثة دون إجراء عملية جراحية ودون آلام.
قام بإجراء العملية الدكتورعلي كنج، رئيس قسم الأشعة في مستشفى حمود الجامعي، لمريض في العقد السادس من عمره من خلال تخدير موضعي حيث تمكن المريض من مغادرة المستشفى في اليوم الثاني.
بعد نجاح العملية، أكد الدكتور كنج على أهمية هذه التقنية في علاج الأمراض السرطانية المختلفة كعلاج أساسي، أو كعلاج مساعد للعلاج الطبي وللتخلص من الآلام الناتجة من الأمراض السرطانية.
من جهته صرح الدكتور إبراهيم عميس رئيس مجلس إدارة مستشفى حمود الجامعي أن هذه التقنية أصبحت متوفرة في المستشفى وأكد على العمل الدؤوب والإستمرار بتقديم أحدث الخدمات الطبية في الجنوب.
------------------------------
جريدة صيدونيانيوز.نت / اخبار مدينة صيدا / انجاز طبي جديد للدكتور كنج في مسشتفى حمود – صيدا إجراء عملية لورم سرطاني لمريض بتقنية حديثة وتخدير موضعي
2021-05-07














